お口の中にある小帯とは、何ですか?
歯科医院で小帯の異常があるので切除したほうが良いといわれましたが?
![]()
歯ぐきと、口唇または舌の間についている薄い「すじ」または「ひも」のようなもので,本来、誰にでもあるものです。
上の前歯の歯ぐきと口唇の間にあるものを上唇小帯
下の前歯の歯ぐきと口唇の間にあるものを下唇小帯
上下の奥歯の歯ぐきと口唇、頬の間にあるのが頬小帯
下の前歯の歯ぐきと舌の間にあるものを舌小帯
とよんでいます。
小帯の大きさや長さが正常であれば、通常、切除の必要はもちろんありません。ただし、下記のようなケースでは、切除や整形などの形成外科的な対応が必要な場合が考えられます。
1)舌小帯の異常により、舌の運動が制限され、明らかな発音機能の障害が生じている場合。(舌小帯の異常例、写真1)
2)歯周病に犯されている歯の部分の小帯が、歯と歯の間や、歯と歯ぐきの境目ぎりぎりまで延びているため、うまく歯みがきができない、または歯ぐきの抵抗力を下げるような形になっており、そのままでは歯周病のコントロールが難しい場合。
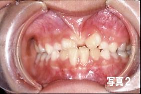
3)明らかに、歯の隙間の原因となっている場合。
(上唇小帯の異常例、写真2)
4)義歯をいれる場合に、小帯が著しく障害となっている場合。
ご相談のケースが、どのような状態なのかはわかりませんが、いずれの場合も、歯科医師による専門的な判断が必要となりますので、状況をよく説明いただいた上で対応をお決めになることをお勧め致します。
![]()